Skip to main content
rendez-vous
par téléphone
vos
rendez-vous
en ligne
Patients
résultats
en ligne
Médecins
résultats
en ligne
L'essentiel

Durée environ 10 minutes

  •  Il utilise les rayons X 
  • entre 5 et 10 minutes en fonction du nombre d'incidences à réaliser
Qu'est ce qu'une radiographie ?

En quoi consiste l'examen ?

Une technique d'imagerie bien connue, et qui pourtant a aussi bénéficié de belles avancées technlogiques pour améliorer la qualité de l'image tout en baissant la dose de rayonnement, et en facilitant le travail des manipulateurs(trices).

  • Principe

    La technique utilise les rayons X, afin d'obtenir une projection  de la surface à radiographier.
    Ci-dessous,l'une des premières images obtenue par Wilhelm Röntgen en 1895; la technique a bien évolué depuis.   

    roengtenmain

  • Pour quelles
    indications ?

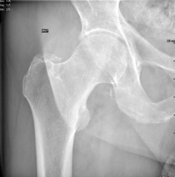
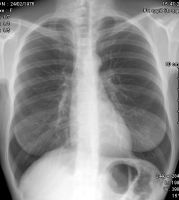
    La radiographie peut apporter une somme d'informations importantes
    aux radiologues.Elle fait partie du bilan d'imagerie standard à réaliser, et va notamment apporter des informations sur la statique du patient ( images en station verticale), ce que l'imagerie en coupe ne permet pas.

  • Du film au numérique.

    Il y a encore quelques années, les radiographies étaient réalisées sur des supports mobiles transportés ensuite vers un système de développement. Aujourd'hui, les progrès ont permis d'utiliser des "capteurs plans" qui permettent grandement d'assouplir la réalisation. Numérisée, l'image peut ainsi être rééxploitée, elle peut bénéficier de mesures directes qui tiennent compte de l'agrandissement, et bien sûr, l'image peut aussi être archivée et comparée plus facilement si besoin.

    rééxploitée

  • Rayon X

    Votre radiographie sera réalisée à l'aide de rayons X. Merci de nous signaler tout risque de grossesse avant votre examen.

Pour votre radiographie pensez à

  • Documents
    à apporter

    - Carte de sécurité sociale et attestation, 

    - Votre ordonnance

    - Vos anciens examens en rapport avec l'affection qui nécessite cette radiographie.

  • Contre-indications

    Si vous présentez un risque de grossesse, veuillez impérativement nous le signaler.

  • Sur place

    Présentez vous à l'accueil pour la création de votre dossier.