Skip to main content
rendez-vous
par téléphone
vos
rendez-vous
en ligne
Patients
résultats
en ligne
Médecins
résultats
en ligne
L'essentiel

Durée environ 10 minutes

  •  Il utilise les rayons X 
  • l'appareil effectue une rotation autour de vous durant quelques secondes
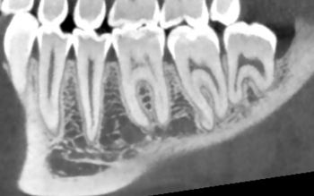
Qu'est ce qu'un Conebeam ?

En quoi consiste l'examen ?

C'est un examen qui est demandé dans les problèmes dentaires, avant une pose d'implant.

  • Principe

    L'appareil effectue une rotation autour de vous pour acquérir toute l'arcade dentaire et pour être en mesure de reconstruire les images dans tous les plans de l'espace (3D).
  • Une résolution optimale

    Longtemps, le scanner était privilégié pour l'étude 3D des massifs dentaires; la technique Conebeam offre aujourd'hui une résolution supérieure au scanner pour ce type d'examen, avec en plus l'avantage de délivrer une dose très faible.

  • Des rayons X...

    Tout comme la radiographie ou le scanner, l'appareil Conebeam realise une acquisition à l'aide de rayons X. Vous devez donc nous signaler avant l'examen si vous présentez un risque de grossesse ou un simple retard de règle.

Cet examen est pratiqué sur le Centre Radiologique du Palais de Justice
Nos horaires 
8h à 12h 13h30 à 18h
du lundi
au vendredi

8H à 12H
le samedi

Prendre rendez-vous


Pour votre Conebeam pensez à

  • Documents
    à apporter

    Cartes de sécurité sociale*, la demande d'examen fournie par votre médecin et  vos anciens examens.

    *permet d'obtenir un remboursement plus rapide.

  • Sur place

    Présentez vous à l'accueil pour la création de votre dossier.

  • Tarification

    Maxillaire supérieur /  inférieur

    79€90 dépassement 35€10

    Sinus

    110€