Skip to main content
rendez-vous
par téléphone
vos
rendez-vous
en ligne
Patients
résultats
en ligne
Médecins
résultats
en ligne
Qu'est qu'une infiltration?
l'essentiel

Durée environ 15 à 20 minutes

  •  sous radioscopie, sous scanner, ou sous échographie
  • un acte pour soulager certaines douleurs

Nous vous expliquons le principe

l'injection d'un produit anti-inflammatoire, localisée au niveau d'une zone douloureuse, va permettre de soulager cette dernière de manière bien plus éfficace, mais aussi d'éviter tous les effets secondaire à la prise de médicaments par voie orale (troubles gastriques par exemple).

  • De quoi s'agit-il?

    Un acte pour soulager vos douleurs
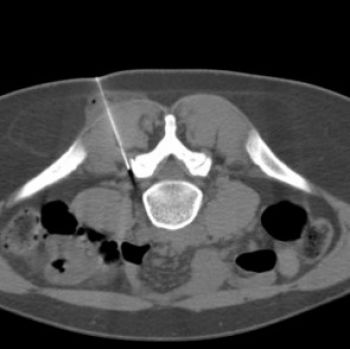
    L'infiltration épiduraleet par voie foraminale consiste à injecter un médicament anti-inflammatoire à base de cristaux de cortisone au voisinage du nerf dont l'irritation est responsable de la douleur.
  • Comment cela se passe t'il?

    Un examen d'une durée de 15 à 20 minutes dans la majorité des cas

    Il s’agit d’un geste habituel et fréquent, non douloureux ; vous serez installés à plat ventre, des images scanner de repérage sont faites, l’infiltration est faite doucement en certifiant le bon positionnement grâce aux images scanner .

    l’ensemble de l’examen dure environ 20 mn.

    Après l’infiltration vous pouvez reprendre une activité normale (sans faire d’effort au décours).

    L’infiltration commence en principe à être efficace au bout de deux jours. En cas de douleur anormale ou si vous avez le moindre souci, n’hésitez pas à prévenir votre médecin et/ou le radiologue ayant effectué l’infiltration.

  • Est-ce douloureux?

    Beaucoup de personnes arrivent avec une appréhension injustifiée...

    En général la seul sensation douloureuse est celle de l'aiguille qui traverse la peau . Il faut savoir qu'un piqure dans le dos est moins douloureuse qu'une prise de sang, car les zones cutanées sont moins inervées.

    Dans certains cas , le radiologue peut pratiquer une anesthésie locale.

    Si vous avez une appréhension parlez-en aux manipulateurs ou au médecin radiologue ; ils sauront vous rassurer et vous expliquer les détails.

Pour votre
infiltration
pensez à

  • Documents
    à apporter

    - Carte de sécurité sociale et attestation, 

    - Votre ordonnance

    - Vos anciens examens en rapport avec l'affection qui nécessite cette radiographie.

  • Sur place

    Présentez vous à l'accueil pour la création de votre dossier.

Pensez à suivre toutes les instructions donnés par la secrétaire en vue de votre examen.